
(Moorfields Eye Hospital via SWNS)
By Stephen Beech
Blind people have been able to read again thanks to a tiny eye implant half as thick as a human hair.
The pioneering device paired with augmented-reality glasses restored vision to older people who had lost their sight as a result of an untreatable eye condition.
The results of clinical trials showed that 84% of participants were able to read letters, numbers and words using prosthetic vision through an eye that had previously lost its sight due to age-related macular degeneration (AMD).
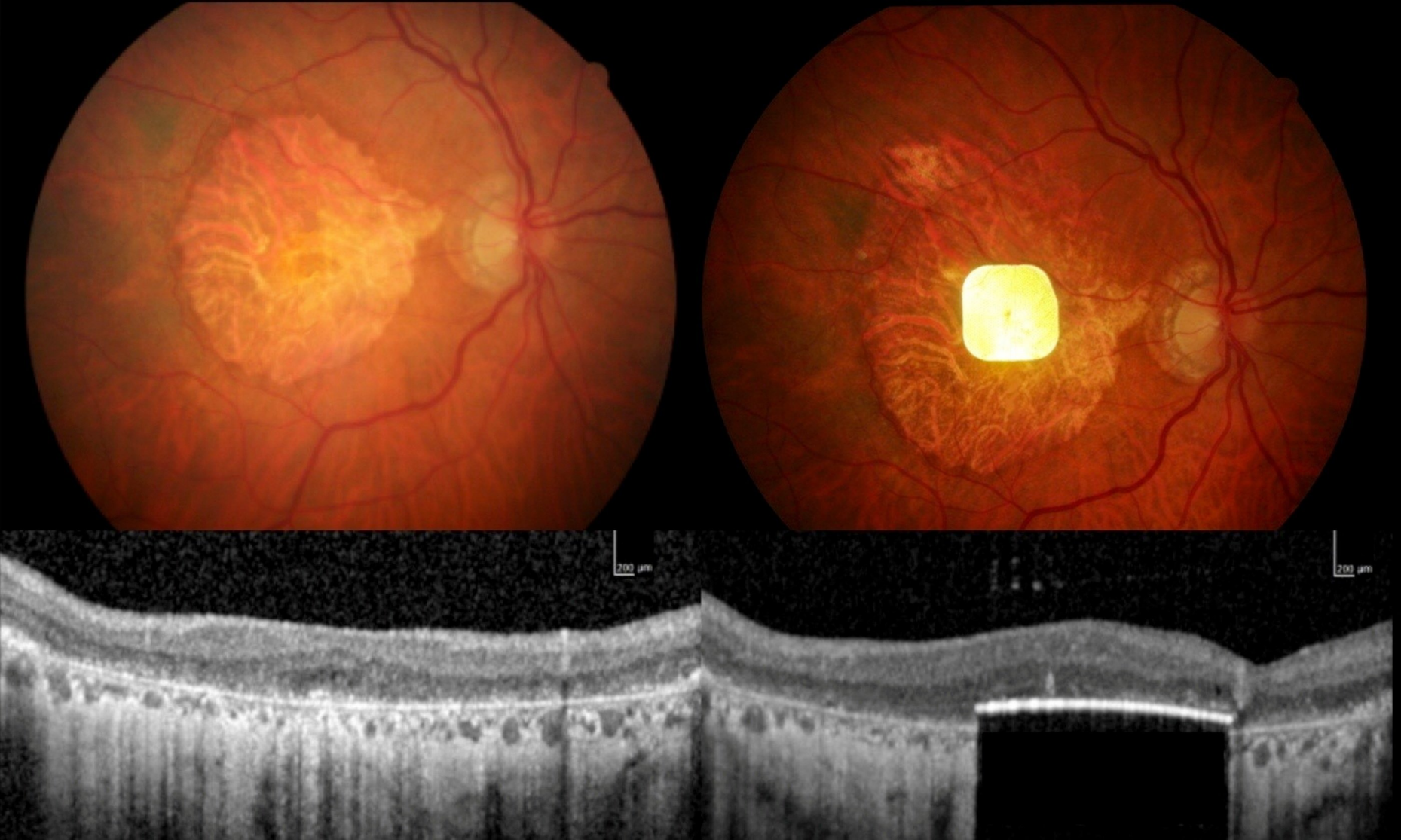
Those treated with the device - 30 micrometers or 0.03 millimeters thick - could also read, on average, five lines of a vision chart - even though some participants could not even see the chart before surgery.
The revolutionary new implant is the first ever device to enable people to read letters, numbers and words through an eye that had lost its sight.
The trial, involving 38 patients at 17 hospital sites across five countries including Moorfields Eye Hospital in London, tested the device called PRIMA.

(Science Corporation via SWNS)
All the patients had lost complete sight in their eye before receiving the implant.
Dry AMD is a slow deterioration of the cells of the macula - a small area at the center of the retina in the back of the eye - over many years, as the light-sensitive retinal cells die off.
Most people with dry AMD can experience a slight loss of central vision.
Through a process known as geographic atrophy (GA), it can progress to full sight loss in the eye, as the cells die and the central macula melts away.
There is currently no treatment for GA, which affects five million people globally.
All participants in the trial had lost the central sight of the eye being tested, leaving only limited peripheral vision.
Sheila Irvine, one of Moorfields’ patients in the trial who was diagnosed with AMD, said: “I wanted to take part in research to help future generations.
"My optician suggested I get in touch with Moorfields.
"Before receiving the implant, it was like having two black discs in my eyes, with the outside distorted.'
“I was an avid bookworm, and I wanted that back.
"I was nervous, excited, all those things.
"There was no pain during the operation, but you’re still aware of what’s happening.

(Science Corporation via SWNS)
"It’s a new way of looking through your eyes, and it was dead exciting when I began seeing a letter.
"It’s not simple, learning to read again, but the more hours I put in, the more I pick up.
“The team at Moorfields has given me challenges, like ‘Look at your prescription’, which is always tiny.
"I like stretching myself, trying to look at the little writing on tins, doing crosswords.
“It’s made a big difference. Reading takes you into another world, I’m definitely more optimistic now.”
University College London (UCL) Dr. Mahi Muqit, who led the UK arm of the trial, said: “In the history of artificial vision, this represents a new era.
"Blind patients are actually able to have meaningful central vision restoration, which has never been done before.
“Getting back the ability to read is a major improvement in their quality of life, lifts their mood and helps to restore their confidence and independence.
"The PRIMA chip operation can safely be performed by any trained vitreoretinal surgeon in under two hours - that is key for allowing all blind patients to have access to this new medical therapy for GA in dry AMD.”
He explained that the procedure involves a vitrectomy, where the eye’s vitreous jelly is removed from between the lens and the retina, and the surgeon inserts the ultra-thin microchip, which is shaped like a SIM card and measures just 2mm x 2mm.
The chip is inserted under the center of a patient’s retina, by creating a "trapdoor" into which it is posted.
The patient uses augmented-reality glasses, containing a video camera that is connected to a small computer, with a zoom feature, attached to their waistband.
Around a month or so after the operation, once the eye has settled, the new chip is activated.
The video camera in the glasses projects the visual scene as an infra-red beam directly across the chip to activate the device.

(Stanford Medicine via SWNS)
Artificial intelligence (AI) algorithms through the pocket computer process the information, which is then converted into an electrical signal.
The signal passes through the retinal and optical nerve cells into the brain, where it is interpreted as vision.
The patient uses their glasses to focus and scan across the main object in the projected image from the video camera, using the zoom feature to enlarge the text.
Each patient goes through an intensive rehab program over several months to learn to interpret the signals and start reading again.
No significant decline in existing peripheral vision was observed in the trial participants.
The findings, published in The New England Journal of Medicine, pave the way for seeking approval to market the new device.
Dr. Muqit said: “My feeling is that the door is open for medical devices in this area, because there is no treatment currently licensed for dry AMD – it doesn’t exist.
“I think it’s something that, in future, could be used to treat multiple eye conditions."
He added: “The rehabilitation process is key to these devices.
"It’s not like you’re popping a chip in the eye and then you can see again. You need to learn to use this type of vision.
“These are elderly patients who were no longer able to read, write or recognize faces due to lost vision.
"They couldn’t even see the vision chart before.
"They’ve gone from being in darkness to being able to start using their vision again, and studies have shown that reading is one of the things patients with progressive vision loss miss most.”
(0) comments
Welcome to the discussion.
Log In
Keep it Clean. Please avoid obscene, vulgar, lewd, racist or sexually-oriented language.
PLEASE TURN OFF YOUR CAPS LOCK.
Don't Threaten. Threats of harming another person will not be tolerated.
Be Truthful. Don't knowingly lie about anyone or anything.
Be Nice. No racism, sexism or any sort of -ism that is degrading to another person.
Be Proactive. Use the 'Report' link on each comment to let us know of abusive posts.
Share with Us. We'd love to hear eyewitness accounts, the history behind an article.