(Photo by Luis Felipe Pérez via Pexels)
By Stephen Beech
Special Forces soldiers are more likely to suffer potentially deadly brain injuries due to regular exposure to explosions, suggests a new study.
Researchers found that a higher prevalence of intracranial aneurysms in U.S. Special Operations Forces personnel were independently associated with greater repeated blast exposure.
A brain aneurysm is a weak, bulging spot in an artery wall within the brain, often resembling a balloon or berry.
While most are small and asymptomatic, they can grow or rupture, causing potentially deadly severe bleeding.
Special Operations Forces are elite, highly trained military units designed for clandestine, high-risk missions often behind enemy lines.
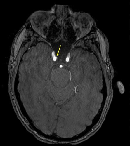
Representative axial time-of-flight MR angiography image in a 39-year-old male participant shows a laterally projecting intracranial aneurysm (arrow) originating from the right cavernous segment of the internal carotid artery. (RSNA via SWNS)
Controlled by U.S. Special Operations Command, the units — including the Green Berets and Navy SEALs — specialize in unconventional warfare, direct action, counterterrorism and reconnaissance.
Blast exposure is common in military service, yet its long-term effects on the brain remain poorly understood.
For the new study, researchers looked to determine the prevalence of structural brain MRI abnormalities in Special Operations Forces personnel and examine their association with cumulative blast exposure.
Study lead author Dr. Sara De Giorgi said: "This study is the first to examine the relationship between cumulative blast exposure and structural brain MRI findings in a large group of U.S. Special Operations Forces.
"We found that intracranial aneurysms were more common in individuals with higher blast exposure."
For the study, 564 U.S. Special Operations Forces personnel with an average age of 43 underwent 3T brain scans.
Imaging findings were extracted from structured neuroradiology reports.
(Photo by Amar Preciado via Pexels)
Blast exposure was quantified using a numerical score that measures the cumulative impact of repeated low-intensity blasts, for example during training.
De Giorgi, a radiologist and postdoctoral research fellow in neuroradiology at Massachusetts General Hospital, Boston, said: "By using a quantitative measure of blast exposure, we were able to identify this association in a population where many MRI findings are often nonspecific and difficult to interpret."
She said the most prevalent MRI finding was white matter hyperintensities (38.1%), followed by intracranial aneurysms (5.9%).
Among all evaluated MRI findings, only intracranial aneurysms were associated with cumulative blast exposure.
No association was observed for other structural abnormalities, including white matter hyperintensities.
Aneurysm prevalence was greater in the high-exposure group (9.5%) compared to the low-exposure group (2.7%).
De Giorgi said: "Intracranial aneurysms were three times more common in highly exposed personnel.
"Even after accounting for other health factors such as age and blood pressure, the association remained significant.
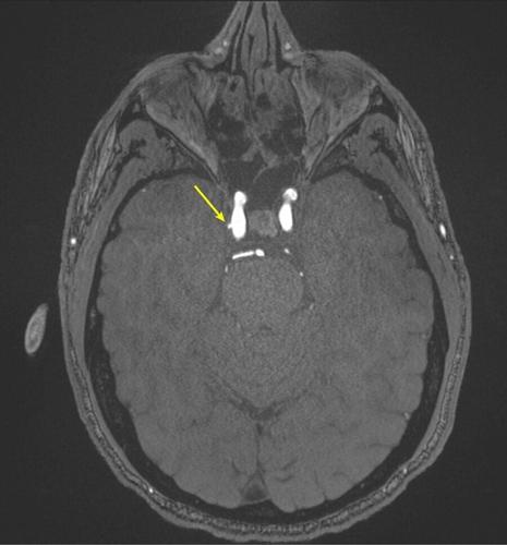
Representative axial time-of-flight MR angiography image in a 35-year-old male participant shows a medially projecting intracranial aneurysm (arrow) originating from the right cavernous segment of the internal carotid artery. (RSNA via SWNS)
"These findings suggest that repeated blast exposure may leave a measurable vascular signature in the brain."
She says the findings, published in the journal Radiology, point to a possible long-term vascular effect of repeated low-level blast exposure during years of service.
De Giorgi said: "These vascular changes can be seen with routine MRI scans, making the findings directly relevant to everyday radiology practice.
"Radiologists may use this information when interpreting brain MRIs in patients with a history of repeated blast exposure, helping identify possible vascular abnormalities, such as aneurysms.
"In addition, our preliminary results suggest that screening MRAs may be warranted in this population."
She says the injury pattern seen among Special Forces personnel is very different from civilian trauma.
De Giorgi added: "Instead of single, obvious injuries like car accidents or falls, these service members face years of low-level blast exposure from shockwaves that pass through the brain even when no external injury is visible.
"This repeated, invisible trauma can leave lasting effects that only now we are beginning to detect with advanced imaging."


(0) comments
Welcome to the discussion.
Log In
Keep it Clean. Please avoid obscene, vulgar, lewd, racist or sexually-oriented language.
PLEASE TURN OFF YOUR CAPS LOCK.
Don't Threaten. Threats of harming another person will not be tolerated.
Be Truthful. Don't knowingly lie about anyone or anything.
Be Nice. No racism, sexism or any sort of -ism that is degrading to another person.
Be Proactive. Use the 'Report' link on each comment to let us know of abusive posts.
Share with Us. We'd love to hear eyewitness accounts, the history behind an article.